Teeth scaling and polishing is one of the most effective preventive dental treatments for maintaining long-term oral health. It does more than just make your teeth look clean — it protects your gums and prevents future dental problems.
Most people think scaling is just about making teeth “feel clean.” but it isn’t that simple. The process involves removing bacteria buildup that brushing cannot eliminate especially once plaque hardens into tartar. Let’s get into what it actually does, why it matters, and why so many people only realise they needed it when their gums start bleeding.
Why Scaling and Polishing Matters More Than Most People Think
Most people brush twice a day and still feel like their mouth never stays fresh long enough. That does not mean your brushing is not good enough; it’s because plaque doesn’t always stay soft.
Once plaque hardens into tartar (calculus), it becomes a rough surface where bacteria cling easily. Getting your teeth scaled removes the hardened layer while polishing smoothens the surface so plaque has a harder time sticking again.
That’s the real reason scaling and polishing feels like a reset.
Plaque, Tartar, and Biofilm Explained

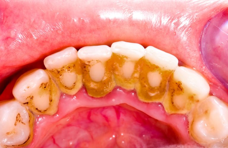
A common misconception is that most people believe scaling is just removing the stains on your teeth. In reality, scaling and polishing targets three different layers of buildup that affect gum health at different stages.
What Is Plaque?
Plaque is a sticky biofilm made of bacteria, food particles, and saliva. It forms within hours after brushing. Even with good home care, certain areas – especially near the gumline and between teeth – are easy to miss.When plaque stays undisturbed for too long, bacteria multiply and begin irritating the gums.
What Is Tartar?
Tartar, also known as calculus, forms when plaque mineralises due to saliva deposits. Once hardened, it bonds tightly to the tooth surface. This is the point where brushing and flossing are no longer enough.
Tartar creates a rough surface that attracts even more bacteria. It also sits close to the gumline, which can cause:
- Persistent inflammation
- Gum bleeding
- Swelling
- Bad breath
One of the major benefits of scaling teeth is physically removing this hardened layer before it leads to deeper gum damage.
Immediate Benefits of Dental Scaling and Polishing
Cleaner teeth that stay cleaner longer
One of the biggest benefits of scaling teeth is how quickly your mouth feels different. The “rough” feeling near the gumline disappears because the tartar is gone. When the surface is smoother, plaque struggles to cling, so your brushing becomes more effective.
Healthier gums with less bleeding
Bleeding gums are often your first warning sign. Scaling helps by removing bacteria-harbouring tartar that keeps gums inflamed. Over time, gums settle, tighten, and bleed less during brushing and flossing. Scaling reduces the risk by clearing bacteria and helping gums return to a healthier state. This is where the benefits of dental scaling become preventative – you’re preventing deeper gum pockets and bone loss before they develop.
Fresher breath that last longer
Bad breath is commonly caused by bacteria trapped in plaque and tartar. While mouthwash can mask it, scaling removes the source permanently. When the bacterial load drops, breath stays fresher for longer, especially when daily flossing follows.
Better Aesthetic Appearance Without Whitening
Most patients assume scaling is the same as whitening but it isn’t.
The biggest difference in the benefit of teeth scaling and polishing is that teeth often look brighter afterward. This is because surface stains from coffee, tea, and smoking are removed along with plaque and tartar. Your teeth will look cleaner because buildup is gone andnot because the enamel shade has changed.
Long Term Benefits
Easier home care, especially for crowded teeth
When teeth are crowded, it’s easier for plaque and tartar to build up in tight spaces that are hard to clean properly. A professional scaling and polishing helps clear those areas so daily brushing and flossing become more effective. If you’re planning to get braces, it’s especially important to start with clean, healthy teeth since brackets and wires can trap even more plaque and make cleaning trickier.
Better dental checkups because problems are easier to spot
Plaque and tartar can also mask early signs of cavities and gum problems. Once your teeth are thoroughly cleaned, your dentist can get a clearer picture of your oral health. If there are areas where food frequently gets stuck or you’re already feeling sensitivity, it’s wise to address them early — sometimes that means treating small cavities before they turn into bigger, more painful issues.
FAQ: How Often Should You Do Teeth Scaling and Polishing?
Does frequent scaling make teeth more sensitive permanently?
Temporary sensitivity can happen after scaling, especially when tartar was covering exposed root areas. However, this sensitivity usually improves within a few days. It does not cause permanent nerve damage or long-term enamel thinning.
What happens to my gums immediately after scaling?
Gums may feel slightly tender and look mildly red for a short period as they adjust. As inflammation reduces, gums typically become firmer and bleed less during brushing.
Is scaling safe during orthodontic treatment?
Yes. In fact, scaling becomes even more important when wearing braces or aligners because plaque accumulates more easily around brackets and attachments.
Is there a maximum number of times I can scale my teeth per year?
There is no fixed maximum. The frequency depends on gum health and tartar recurrence. Your dentist determines the safest interval based on clinical findings rather than a strict annual limit.
How do I know my scaling schedule is too far apart?
Roughness near the gumline, recurring bad breath, and gum bleeding between visits often signal tartar is returning faster than your current schedule.
Ready for That Fresh, Just-Cleaned Smile? Book Your Scaling & Polishing in Kepong

Ready to check if your current scaling schedule still makes sense? Book a visit at Fresh Dental Kepong for a personalised assessment based on your gum health and tartar buildup. If you’ve also been dealing with food traps or sensitivity, pairing hygiene with Tooth Filling in Kepong also helps ensure you’re not cleaning around an issue that still needs treatment.





