Teeth Cleaning vs Scaling – Which Is the Better Option for Cleaner Teeth in Kepong?
Find out if teeth scaling hurts, what to expect during cleaning, and how to ease post-treatment sensitivity — no fluff, just real answers.
Find out if teeth scaling hurts, what to expect during cleaning, and how to ease post-treatment sensitivity — no fluff, just real answers.
Find out if teeth scaling hurts, what to expect during cleaning, and how to ease post-treatment sensitivity — no fluff, just real answers.
Find out if teeth scaling hurts, what to expect during cleaning, and how to ease post-treatment sensitivity — no fluff, just real answers.
Find out if teeth scaling hurts, what to expect during cleaning, and how to ease post-treatment sensitivity — no fluff, just real answers.
Find out if teeth scaling hurts, what to expect during cleaning, and how to ease post-treatment sensitivity — no fluff, just real answers.
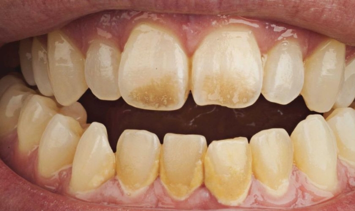
Coffee, cigarettes, or tartar making your smile dull? Here's how to clean stained teeth fast with real results.
Experience the future of dentistry with our state-of-the-art high-end equipment.
Our cutting-edge technology ensures precision, comfort, and efficiency in every procedure, delivering the highest standard of care for your smile.
Copyright © 2023 Fresh Dental Care (202001026382). All Right Reserved.